Doctor

SAÚDE & BEM-ESTAR

Próstata e Incontinência Urinária  I  Análise

Doctor

Contador de Espectadores
Leitores online:  190

Próstata e Incontinência  I  Análise

Incontinência urinária é perigosa! Como os homens podem combater essa condição em casa?

Dr. cirurgião, membro vitalício da sociedade americana de urologia, faz alerta muito importante! 

Publicado por: Marcela Montovani

17/11/2025 – Atualizado há 3 minutos

Incontinência urinária, perda da bexiga e infecções

Estatísticas mostram que cerca de 80% dos homens com mais de 50 anos sofrem de incontinência urinária. E nos últimos anos, essa condição está se tornando mais comum entre homens mais jovens. Em comparação com o ano passado, houve um aumento de 20,5% no número de pacientes com idades entre 40 e 45 anos.

Os especialistas alertam que o problema só tende a piorar com a idade. Os sintomas desagradáveis, como odor, pinga-pinga e vazamentos de urina, não desaparecem facilmente. Mas graças aos avanços na urologia, hoje é possível reprimir a incontinência urinária em pouco tempo.

Um renomado urologista, membro de sociedades americana de urologia e andrologia, professor da Universidade de Washington, George Oliver, falou sobre as peculiaridades do tratamento.

Urologista e doutor, membro da Sociedade Americana de Urologia e Andrologia, professor, cientista e chefe do departamento de urologia da universidade (MGWSU).

— Por favor, me responda, Dr. George Oliver, a incontinência urinária é perigosa?

Sim, a incontinência urinária é realmente uma patologia que não apenas consome a vida social, mas também é capaz de levar a consequências mais sérias para a saúde. Por isso, não se deve ignorar o problema.

Mesmo na fase inicial, quando as pessoas se afastam de alguém devido ao mau cheiro, isso gera um desconforto psicológico que leva ao isolamento e à depressão.

No entanto, a maior ameaça reside no ataque bacteriano. Sem o tratamento adequado, a pessoa corre o risco de ser exposta a uma cepa de bactérias maléficas. Inicialmente, isso resulta em disbiose, que rapidamente destrói o sistema imunológico da pessoa, e posteriormente ocorrem formações malignas.

Nos homens, também podem surgir cistos. E isso não é tudo, há também outro lado do problema. A própria bexiga, se não estiver funcionando corretamente, começa a perder suas funções de forma irreversível. Como resultado, a cateterização pode ser necessária – um procedimento que envolve a introdução de um cateter na bexiga. Como você pode imaginar, isso priva a pessoa de uma vida normal.

Na verdade, estou sinceramente surpreso com o fato de nossos especialistas não transmitirem aos pacientes as informações que poderiam aliviá-los desse sofrimento. A incontinência urinária também pode ser tratada rapidamente, sem chegar a uma situação crítica.

— Intervenção cirúrgica?

Não, não estou falando sobre isso agora. A cirurgia é necessária em último caso, quando nenhum outro método é mais eficaz. Estou falando que existem fármacos que conseguem lidar bem com o problema.

Além disso, a intervenção cirúrgica não garante a interrupção completa e definitiva do problema . Afinal, ela não elimina a causa do enfraquecimento da bexiga e de todo sistema urinário. Portanto, com o passar dos anos, ela continua se expandindo, o que aumenta o risco de recorrências. 

Minha alerta é essa: caso sofra com qualquer tipo de incontinência urinária (destaco todas abaixo), comece imediatamente a terapia com um fármaco adequado, evite que a situação se agrave e que uma cirurgia arriscada seja indispensável.

💦 Incontinência de Esforço – é quando a urina vaza por causa da pressão exercida sobre a sua bexiga, seja durante o exercício, tossir, espirrar, rir ou levantar objetos pesados.

💦 Incontinência de Urgência – é quando você tem uma vontade repentina e forte de fazer xixi sem conseguir segurar. Este é de longe o pior tipo, pois pode acontecer em qualquer lugar a qualquer momento, com pouco ou nenhum aviso prévio.

💦 Incontinência por Transbordamento – acontece quando pequenas quantidades de urina vazam da sua bexiga sempre que ela está cheia. Sendo a forma mais fácil de incontinência de lidar.

💦 Incontinência Funcional – à medida que envelhecemos e a mobilidade fica mais difícil, as pessoas com controle normal da bexiga podem ter dificuldade em chegar ao banheiro a tempo de se aliviarem.

— Dr., pode mencionar pelo menos um desses fármacos?

Com prazer! Atualmente, de todos os disponíveis no mercado, eu prefiro o Prost Force. É uma terapia americana eficaz que combate todos os tipos de incontinência urinária sem efeitos colaterais negativos.

Em alguns dias após tomá-lo, os pacientes já percebem que os sintomas estão desaparecendo. Ao longo do tratamento, o alívio é completo. A bexiga se recupera e seu tônus volta ao normal.

— E como essa bênção chamada Prost Force funciona, Dr. George?

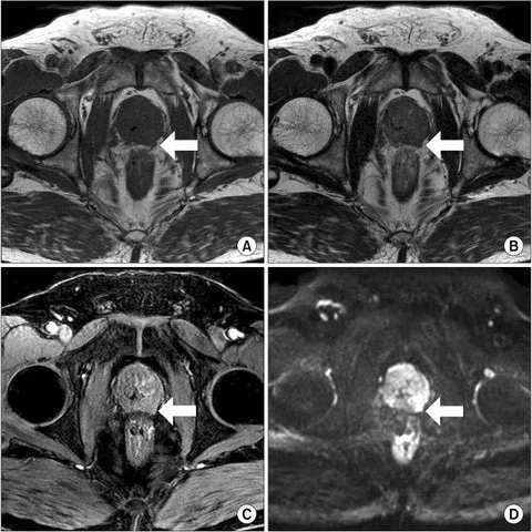
Excelente pergunta. Em seu primeiro estágio de ação, com os seus ativos anti-microbióticos naturais saudáveis, o Prost Force realiza uma “faxina” completa no sistema urinário, erradicando todas as possíveis bactérias maléficas, inclusive a Escherichia coli (E. coli), instaladas na bexiga, uretra e rins, que causam as infecções urinárias, enfermidade que enfraquecem radicalmente a bexiga e a estrutura muscular do assoalho pélvico e que consequentemente levam aos pacientes a desenvolverem fortíssimos quadros de incontinência urinária.

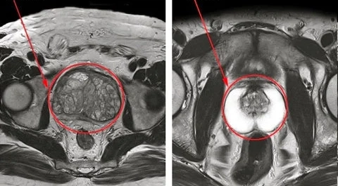
Posteriormente, em seu segundo estágio de ação, ele atua na normalização do tamanho da próstata e na eliminando a hiperplasia prostática benigna (HPB) e a prostatite.

Por último, para garantir a plena neutralização da incontinência, em seu terceiro estágio de ação, o Prost Force libera uma quantidade implacável de super nutrientes que recuperam e fortalecem integralmente a próstata, a musculatura da região pélvica e do sistema urinário, que estavam enfraquecidos pelas causas que citei acima ou pelo a avanço natural da idade, aumentando assim a capacidade de suportar uma maior quantidade de urina e proporcionando o controle absoluto do segurar ou eliminar a urina, frequência urinária equilibrada e a neutralização dos escapes involuntários e da bexiga hiperativa.

— Onde posso comprar o Prost Force? É vendido apenas com receita? Consigo encontrar na farmácia?

Prost Force pode ser adquirido sem receita. Isto é uma grande vantagem, pois qualquer pessoa que esteja ciente do seu problema pode realizar o tratamento sem qualquer obstáculo. A terapia é totalmente natural, por isso não há efeitos colaterais e nenhuma contraindicação. 

Um detalhe importante: no Brasil o Prost Force é autorizado pela ANVISA (nos termos da RDC 240 de 26/07/2018) e classificado como 100% seguro para toda população.

Prost Force original disponível no Brasil no site oficial do laboratório do fabricante.

No que diz respeito a disponibilidade do Prost Force nas farmácias, há um detalhe a ser considerado. Até o momento, o laboratório fabricante não conseguiu chegar a um acordo com as principais redes de farmácias para fornecê-lo, pois não é vantajoso para as farmácias vender o Prost Force devido à sua alta eficácia.

Todos sabemos que todo dono de uma rede de farmácias tem um acordo com vários fabricantes para que, mediante de pagamento adicional, os produtos desses fabricantes sejam vendidos em primeiro lugar. Os farmacêuticos recebem semanalmente uma lista de fármacos que, sem medo de usar a palavra, precisam “enfiar” nos clientes. Naturalmente, os preços deles ficam exorbitantes.

O laboratório fabricante do Prost Force não quer aumentar os preços, pois sabe que a terapia alcançará seus consumidores devido à sua alta eficácia, mesmo sem publicidade adicional das farmácias. E um aumento de 200% no preço, para cobrir as comissões cobradas por esses estabelecimentos sem escrúpulos, tornaria impossível a aquisição do Prost Force pelas pessoas que precisam de tratamento. Aí está o segundo motivo para a falta de acordo.

— Dr. George Oliver, então, onde consigo encontrar o Prost Force no Brasil?

Apesar da falta do tratamento nas farmácias, ele está sendo distribuído com sucesso pela internet para o mundo inteiro. No Brasil o laboratório fabricante lançou a distribuição da terapia  Prost Force para todos que precisam, no site com descontos de até 72%. O pedido é entregue no endereço do paciente em um prazo máximo de 5 dias e com total descrição.

O custo de aquisição do fármaco diretamente do laboratório, sem quaisquer acréscimos das farmácias, segundo especialistas, deverá garantir o acesso da terapia a todos que precisam de ajuda.

Na minha opinião, essa é uma iniciativa excelente, pois as pessoas devem ter a chance de se livrar do problema independentemente de sua situação financeira.

Esta é uma oportunidade única para combater a incontinência urinária e a próstata inchada rapidamente, e evitar uma cirurgias ou perigosas complicações associadas ao problema. Afinal, segundo os estudos do fármaco Prost Force, 94% dos pacientes se restabeleceram completamente após a terapia. Esse é um resultado muito alto.

— Bem, Dr. George Oliver, obrigada pela conversa. Você ajudou bastante a entender esse problema tão complicado que afeta milhares de pessoas. Acho que nossos leitores poderão aproveitar seus conselhos. Agora sabemos que a incontinência urinária pode ser combatida.

Sim, claro, fiquei feliz em ajudar. Quero pedir aos leitores que não se desesperem e sempre lutem pela sua saúde. Afinal, vivemos numa época em que a ciência alcançou um alto nível.

Se possível, peço também que o editor dessa importante entrevista, ajude aos leitores a entrarem no site para conseguir realizar a compra do Prost Force com o desconto limitado do laboratório de 72%, pois assim como eu, nem todos lidam bem com a internet. Meus sinceros agradecimentos a revista Doctor pelo incansável trabalho informativo para levar mais saúde e qualidade de vida as pessoas, elas merecem!

Nota do editor! Conforme o pedido do Dr. George Oliver, disponibilizamos o site oficial do Prost Force com o desconto de 72%, basta clicar no botão abaixo!

Atualização: Prezados, leitores, verificamos que o estoque do Prost Force com desconto máximo está acabando hoje, 17/11/2025. Sugiro que entre no site imediatamente e faça o seu pedido para não correr nenhum risco de perder.

Comentários (80)

i

Carlos Alberto

Há 1 hora

Não sou de ficar comprando pela internet, mas como um amigo meu me recomendou a compra de Prost Force por este site, acabei confiando. Todos os frascos chegaram e a entrega foi bem rápida. Já tomo há poucas semanas e já sinto como se minha próstata tivesse voltado no tempo de tão boa que tá.. a sensação que me passa é de liberdade, de poder aproveitar meu dia sem ficar me preocupando com as idas frequentes ao banheiro e sem dor. Só tenho a agradecer a você.

1703450607-scale_1200

Roberto Vargas

Há 1 hora

Olha só, minha próstata está saudável em apenas algumas semanas de uso! Meus exames que acabei de receber. Estou impressionado!!!

1689524987-19_120x120

Décio Luiz Prates

Há 1 hora

Moro nos EUA e os homens aqui usam isso há 5 anos! Muitos colegas de trabalho me falaram sobre ele para a incontinência urinária

02-1

Mario Botelho

Há 1 hora

Eu estava procurando por algo assim há anos. Isso é realmente um divisor de águas. Não aqueles produtos em gota vendidos na internet, que, francamente, nunca funcionaram pra mim. Agora eu consigo dormir a noite toda sem ter que me levantar para ir ao banheiro, o que até um mês atrás eu achava que seria impossível. Meu urologista me confirmou que agora eu tenho uma próstata perfeitamente normal e não preciso mais tomar fármaco algum. O engraçado é que depois que contei ao meu doutor sobre isso, ele começou a usar também. Quem diria, né? Se você também quer ter de volta o controle sobre a sua vida, eu te recomendaria isso mil vezes.

03-1

Francisco da Silva

Há 2 horas

Meu Deus, será que esses sofrimentos de tantos anos podem terminar tão rápido?! Minha próstata dói e não controlo mais a urina. Vou confiar, pedido feito!

1703450312-88

Marcos Vilarinho

Há 2 horas

Comprei e chegou em 7 dias, agora vou usá-lo

8-1.jpg

Maria Regina

Há 4 horas

Meu marido lutou muito tempo contra a incontinência urinária, mas tudo foi em vão. O problema é mesmo terrível. É vergonhoso contar a alguém, mas as pessoas acabam sentindo o cheiro ruim de urina que escapava e comentavam. Meu marido estava completamente isolado da sociedade. Mas agora ele se sente uma pessoa normal. Começou a tomar o Prost Force há 3 meses e está muito satisfeito, o problema desapareceu. Eu e ele estamos felizes. Decidi escrever eu mesmo, porque ele fica muito envergonhado.

01-1

Romero Brito

Há 5 horas

Não tenho palavras para expressar a minha alegria. Agradeço ao fabricante por este salvador! Concluí o tratamento, esqueci desse inferno! Estou vivendo e aproveitando a vida! 

1689524767-4_1_120x120

João Augusto

Há 5 horas

Estou usando o Prost Force há 3 semanas e devo dizer que minha próstata provavelmente nunca esteve tão saudável quanto agora. Muito obrigado!

08

Antônio Bezerra

Há 6 horas

Este foi o único produto que funcionou para mim. Eu vi os excelentes comentários e decidi experimentá-lo. Ele chegou em poucos dias. Comecei a tomá-lo como recomendado e logo depois já pude ver os resultados. Agora, eu não tenho mais medo de me constranger em público. Minha bexiga está funcionando perfeitamente e meu urologista não consegue acreditar em quão boa minha próstata está. Agora me sinto mais confiante. E, finalmente, sou capaz de ser mais íntimo com minha esposa… e isso é uma vitória em dobro pra mim. Obrigado! O Prost Force me salvou.

111-min

Adalberto Nascimento

Há 7 horas

O Prost Force me ajudou muito. Sofri sozinho por muitos anos. A incontinência urinária acaba com a vida da pessoa. Por isso, sou infinitamente grato por terem inventado esse tratamento.

i (1)

Romes Faria 

Há 8 horas

Eu estava sem vontade nenhuma de fazer sexo, acredito que minha próstata estava fraca, tomei por 4 semanas essa terapia e minha potência voltou com tudo. Muito bom ter e conseguir satisfazer a companheira.

05

Eustáquio Mantins

Há 8 horas

Tenho 67 anos, ainda quero viver uma vida normal. Aposentei pensando em descansar, mas aí começou essa situação. A saúde falhou, incontinência urinária devido ao aumento da próstata. Obrigado a minha esposa por descobrir o Prost Force!

2222-min

Osvaldo Pereira

Há 9 horas

Estava prestes a fazer uma cirurgia, mas o meu doutor sugeriu o Prost Force como uma última alternativa para evitar a faca. Não confiei muito que daria certo, mas usei e realmente me recuperei, minha próstata estava muito inchada e nada normalizava o tamanho dela. Não sei ao certo, mas usei o Prost Force por mais ou menos 6 meses seguidos, fiz exame pra confirmar e está limpa. Indico a fórmula com toda certeza, um forte abraço.

11.jpg

Paulo Antunes

Há 9 horas

No hospital que vou, o especialista é muito bom, recomendou o Prost Force, disse para encomendar no site, que nas farmácias não tem. Eu curei minha próstata e a incontinência. A fórmula é muito bom. Ainda existem profissionais competentes e humanos.

Ganhe 72% de desconto do laboratório só até: 17/11/2025